Màng bồ đào là một lớp lót giữa của toàn bộ thành nhãn cầu chứa rất nhiều mạch máu và các tế bào chứa hắc tố. Màng bồ đào đóng vai trò quan trọng để nuôi dưỡng mắt cũng như tạo hiệu ứng buồng tối để hình ảnh rõ nét hơn. Viêm màng bồ đào là một bệnh lý viêm nặng và phức tạp ở mắt do bệnh gây ảnh hưởng nghiêm trọng tới thị lực và khả năng nuôi dưỡng mắt. Nếu viêm màng bồ đào không được phát hiện và điều trị kịp thời, hoặc điều trị không đúng, hay người bệnh không tuân thủ điều trị và theo dõi đúng hẹn sẽ có thể dẫn tới các biến chứng gây mù loà như đục thể thuỷ tinh, glocom, thoái hoá giác mạc dải băng, tổ chức hoá dịch kính hay teo nhãn cầu. Cùng chuyên gia nhãn khoa Hitec tìm hiểu biến chứng nguy hiểm của bệnh viêm màng bồ đào qua bài viết dưới đây [caption id="attachment_7850" align="aligncenter" width="362"]
Cấu trúc của màng bồ đào[/caption]
1. Nguyên nhân gây viêm màng bồ đào Chẩn đoán xác định viêm màng bồ đào thường không khó nhưng tìm nguyên nhân gây viêm màng bồ đào là rất phức tạp. Nhiều trường hợp không rõ nguyên nhân, cần hỏi bệnh tỉ mỉ, khám toàn thân và làm xét nghiệm cần thiết để tìm nguyên nhân. Các nguyên nhân gây viêm màng bồ đào gồm : – Vi khuẩn : tụ cầu, liên cầu, phế cầu, trực khuẩn, xoắn khuẩn… + Nhiễm khuẩn ngoại sinh trong các trường hợp chấn thương, phẫu thuật. + Nhiễm khuẩn nội sinh từ các ổ viêm lân cận như sâu răng, viêm lợi, viêm xoang, viêm họng hoặc trong những bệnh toàn thân như lao, giang mai, phong, viêm màng não mủ, nhiễm trùng huyết… – Virus : herpes, zona, cúm, thủy đậu, quai bị… – Nấm : nhiễm nấm ngoại sinh khi bị chấn thương, khi phẫu thuật hoặc nhiễm nấm nội sinh. Các loại nấm gây bệnh có thể là Candida, Aspergilus… – Kí sinh trùng : Toxoplasma, ấu trùng sán lợn, giun… – Yếu tố miễn dịch, yếu tố kháng nguyên bạch cầu người HLA (Human Leucocyte Antigen ) liên quan đến hội chứng Behcet, hội chứng Vogt – Koyanagi – Harada, hội chứng Reiter.. – Nguyên nhân dị ứng trong viêm màng bồ đào do dị ứng protein thể thủy tinh. – Nhiễm độc: độc tố hóa chất, độc tố từ tác nhân gây nhiễm trùng, độc tố của các u ác tính trong nhãn cầu… – Thuốc lá gây viêm màng bồ đào: khói thuốc lá gồm những thành phần kích thích viêm trong mạch máu, góp phần phá vỡ hệ thống miễn dịch và gây viêm màng bồ đào. 2. Phân loại bệnh viêm màng bồ đào – Phân loại theo nguyên nhân: viêm màng bồ đào do vi khuẩn, virus, nấm, kí sinh trùng, do dị ứng, nhiễm độc, liên quan đến yếu tố miễn dịch… – Phân loại theo tiến triển bệnh + Viêm màng bồ đào cấp: viêm tiến triển không quá 3 tháng, sau đó bệnh ổn định. + Viêm màng bồ đào mãn: kéo dài quá 3 tháng – Phân loại theo mô bệnh học: viêm màng bồ đào dạng hạt và không hạt. – Phân loại theo vị trí giải phẫu: + Viêm màng bồ đào trước: viêm mống mắt thể mi + Viêm màng bồ đào trung gian: viêm pars plana + Viêm màng bồ đào sau: viêm hắc mạc, viêm võng mạc. + Viêm màng bồ đào toàn bộ.

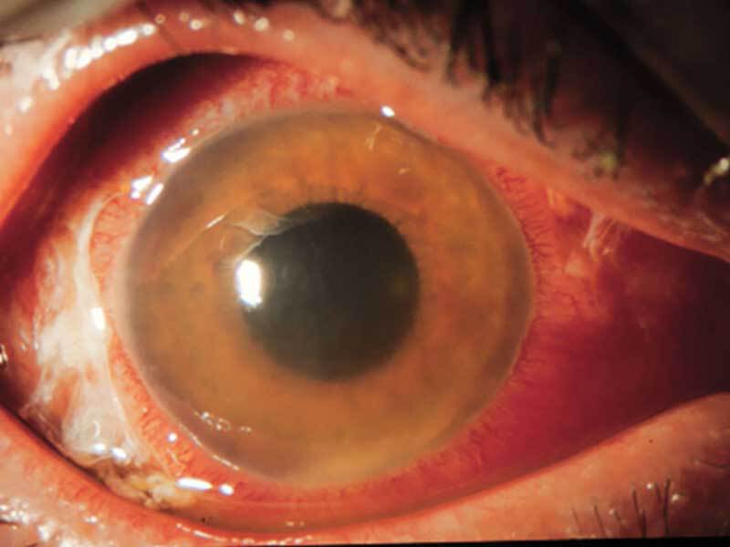
Hình ảnh bệnh nhân bị bệnh viêm màng bồ đào trước[/caption]
3. Lâm sàng và chẩn đoán viêm màng bồ đào Bệnh nhân mắc viêm màng bồ đào trước thường bị cương tụ mạch máu ở kết mạc (nếu cương tụ ở sát rìa giác mạc thì gọi là cương tụ rìa). Việc cương tụ mạch máu dễ khiến lầm tưởng là đau mắt đỏ, nhưng thực ra, với đau mắt đỏ thông thường, mạch máu sẽ sẽ cương tụ rộng khắp. Ngoài ra, có một dấu hiệu nữa ở viêm màng bồ đào trước là bệnh nhân thấy nhìn mờ, cảm giác nhìn cái gì cũng như qua một lớp sương mờ. Bệnh nhân mắc viêm màng bồ đào sau thì không thấy cương tụ vùng rìa nhưng lại hay đau đầu, nhức trong nhãn cầu và nhìn mờ. Ngoài ra bệnh viêm màng bồ đào còn một số triệu chứng như: – Đỏ mắt, dễ nhầm lẫn với viêm kết mạc – Nhìn mờ, cảm giác như nhìn qua màn sương – Đau nhức mắt nếu có kèm tăng nhãn áp – Nhìn thấy nhiều bóng đen (hiện tượng ruồi bay) – Đỏ mắt hay tái phái cũng nên nghi ngờ viêm màng bồ đào.
4. Chẩn đoán phân biệt với bệnh Glôcôm ( thiên đầu thống/ cườm nước) Chẩn đoán phân biệt viêm màng bồ đào trước tăng nhãn áp với cơn glocom góc đóng cấp tính. – Trong viêm màng bồ đào trước tăng nhãn áp + Tủa giác mạc là tủa viêm, màu trắng xám + Đồng tử luôn co nếu chưa dùng thuốc dãn đồng tử – Trong cơn glocom góc đóng cấp: + Lắng đọng mặt sau giác mạc là sắc tố mống mắt, không phải tủa viêm + Đồng tử có thể dính nhưng luôn tự dãn 
5. Biến chứng của Viêm màng bồ đào
5.1. Tăng nhãn áp
– Tăng nhãn áp là biến chứng khá phổ biến của viêm màng bồ đào trước
– Tăng nhãn áp trong viêm mống mắt thể mi hoạt tính do nghẽn đồng tử, nghẽn góc tiền phòng bởi xuât tiết. Điều trị bằng thuốc dãn đồng tử, chống viêm tích cực, các thuốc hạ nhãn áp, nhãn áp có thể điều chỉnh. Nếu nhãn áp không điều chỉnh, dù viêm màng bồ đào chưa ổn định cũng cần phẫu thuật lỗ dò có cắt mống mắt rộng, kết hợp với chống viêm mạnh, vì nếu tăng NA kéo dài sẽ gây tổn hại chức năng thị giác không hồi phục.
– Tăng nhãn áp trong viêm màng bồ đào cũ do dính góc tiền phòng hoặc do dính bít đồng tử làm thủy dịch đọng ở hậu phòng sau mống mắt, đẩy mống mắt phồng ra trước hình thành “núm cà chua”. Điều trị bằng phẫu thuật lỗ dò, cắt mống mắt rộng.
– Tăng nhãn áp có khi là hậu quả của điều trị viêm màng bồ đào bằng cortisteroid. Nhãn áp có thể điều chỉnh khi giảm liều cortisteroid và dùng các thuốc hạ nhãn áp như thuốc ức chế men anhydrase carbonic (acetazolamid), thuốc phong bế beta. Nếu tăng nhãn áp gây tổn hại chức năng thị giác nhiều, cần phẫu thuật lỗ dò. Những viêm màng bồ đào nặng, mãn tính, tái phát nhiều lần có thể có tân mạch ở mống mắt, ở góc tiền phòng gây glocom tân mạch. Điều trị bằng phẫu thuật lỗ dò, hoặc lạnh đông thể mi hay quang đông thể mi kết hợp với thuốc hạ nhãn áp thường có kết quả.
5.2. Đục thể thủy tinh
Gặp ở thể mãn tính hoặc tái phát là biến chứng chính của quá trình viêm hoặc dùng cortisteroid. Cần phẫu thuật lấy thể thủy tinh khi viêm màng bồ đào thật ổn định và thể thủy tinh đục nhiều, các xét nghiệm siêu âm, điện võng mạc đánh giá tổn thương dịch kính võng mạc cho phép tiên lượng thị lực cải thiện sau mổ lấy thể thủy tinh có thể lấy thể thủy tinh ngoài bao hoặc phaco. Mổ lây thể thủy tinh có thể kết hợp cắt dịch kính pars plana nếu dịch kính đục nhiều. Khi mổ có khó khăn, đồng tử co dính dễ viêm màng bồ đào hậu phẫu, cần chống viêm tích cực bằng cortisteroid hoặc thuốc ức chế miễn dịch khác…. Trong những viêm màng bồ đào cấp nặng, có khi thể thủy tinh đục trương phồng, cần phẫu thuật lấy thể thủy tinh sớm ngay cả khi viêm màng bồ đào chưa ổn định và kết hợp điều trị chống viêm mạnh.
5.3. Phù hoàng điểm dạng nang Làm giảm thị lực, điều trị bằng cortisteroid và thuốc chống viêm không cortisteroid.
5.4. Teo nhãn cầu Do thể mi giảm tiết thủy dịch vĩnh viễn dẫn đến teo nhãn cầu
5.5. Tổ chức hóa dịch kính Dịch kính đục nhiều tổ chức hóa gây giảm thị lực. Nếu chức năng võng mạc còn tốt, phẫu thuật cắt dịch kinh qua pars plana có thể cải thiên thị lực và tránh được biến chứng bong võng mạc do xơ dịch kính co kéo. Cắt dịch kính không ngăn được viêm màng bồ đào tái phát. 5.6. Bong võng mạc Do sơ dịch kính co kéo có khi rách võng mạc. Phẫu thuật cắt dịch kính qua pars plana kết hợp mổ bong võng mạc là một phẫu thuật phức tạp nhiều khi khó kết quả. Trong những viêm màng bồ đào sau có bong võng mạc do dịch rỉ viêm (bong võng mạc nội khoa hay gặp trong hội chứng Harada), điều trị chống viêm tích cực, khi viêm giảm, bong võng mạc cũng xẹp dần. 5.7. Các biến chứng khác
– Màng trước võng mạc: phẫu thuật bóc màng trước võng mạc
– Tân mạch dưới võng mạc, tân mạch đĩa thị.
>>>Tham khảo bệnh viêm màng bồ đào qua video dưới đây
6. Điều trị viêm màng bồ đào Điều trị viêm màng bồ đào là vấn đề khó khăn nhất vì điều trị phải dựa vào chẩn đoán nguyên nhân mà nhiều trường hợp không tìm được nguyên nhân

Đội ngũ chuyên gia nhãn khoa trên 20 năm kinh nghiệm
7. Cách phòng ngừa viêm màng bồ đào
Nếu phát hiện bị viêm màng bồ đào, người bệnh cần kiên trì điều trị vì bệnh này dễ hay tái phát.